AIMedicine
As a supporting partner to medical practitioners throughout the world, Medmain develops and operates PidPort, an analytical system for pathological image diagnosis that makes use of Deep Learning.
PidPort
PidPort is an analytical system for pathological image diagnosis that enables super-precise, prompt pathological diagnosis using our unique Deep Learning/AI-based image processing technology. PidPort also features a remote pathological diagnosis function that leverages cloud network technology.*
-
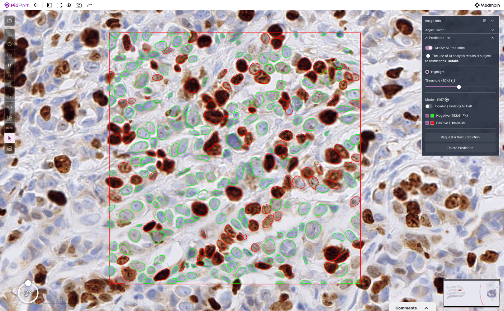
AI AnalysisAI-based pathological screening
PidPort enables highly precise and instantaneous screening of pathologic tissue and cells using AI independently developed by Medmain. As an assistant to medical practitioners, the system eases one's daily workflow.*
-
TelepathologyGlobally-linked remote pathological diagnosis
PidPort's telepathology (remote pathological diagnosis) function enables optimal, timely pathological diagnosis requests and support via a network of medical practitioners around the world.
-
Cloud StorageOptimal storage space for pathologic specimens
Digitization enables cloud-based management and storage of pathologic image data and case histories without the need to worry about deterioration or physical storage space.
-
*It is depending on the country and region, all or a certain feature are available for use. Please contact us for details.
Office
Fukuoka
Tokyo
US
News
learn more-
| MediaMedmain Develops AI for the Automatic Assesment of Ki-67 Labeling Index in Immunohistochemical Specimens -Published in Diagnostics-
-
| NewsDirector Masayuki Tsuneki Ranked Among the “World’s Top 2% Scientists” in Clinical Medicine
-
| News【Announcement of Participation】The 17th Japan-Korea Joint Slide Conference







