-
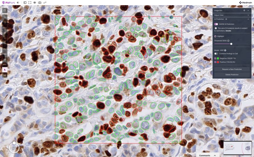
| MediaMedmain Develops AI for the Automatic Assesment of Ki-67 Labeling Index in Immunohistochemical Specimens -Published in Diagnostics-
-
| NewsDirector Masayuki Tsuneki Ranked Among the “World’s Top 2% Scientists” in Clinical Medicine
-
| News【Announcement of Participation】The 17th Japan-Korea Joint Slide Conference
-
| NewsNotice of New Year Holidays
-
| NewsParticipation in the 2nd ASEAN Pathology Conference 2025
-
| NewsParticipation in the 2nd Annual Congress of the Asian Society of Digital Pathology (ASDP 2025 Mumbai)
-
| News【Medmain’s AI-Powered Pathology Cloud System “PidPort” implemented at Ha Dong General Hospital in Vietnam】
-
| News【Announcement】The 2nd ASEAN Pathology Conference
-
| News【Announcement】The 2nd Annual Congress of the Asian Society of Digital Pathology (ASDP)
-
| NewsMedmain and SMC Sign Partnership to Launch AI-Powered Pathological Diagnosis Support in Vietnam
-
| NewsMedmain has signed a MOU with major Vietnamese medical institutions to promote the use of AI and the digitalization of pathological diagnosis
-
| NewsOur CEO Osamu Iizuka had a presentation at the 11th Digital Pathology & AI Congress USA
-
| NewsOur CEO Osamu Iizuka will give a presentation at the 11th Digital Pathology & AI Congress USA
-
| NewsMedmain Acquires ISO13485 Certification, an International Standard for Medical Device Quality Management Systems
-
| NewsMedmain, a Japanese pathology AI startup, has raised 3.3M USD (total 18M USD), with investments from One Capital, Niremia Collective, and Plug and Play
-
| NewsAnnouncement of Participation in the Japan Night – 43rd Annual J.P. Morgan Healthcare Conference
-
| NewsMedmain Acquires ISO/IEC 27001 Certification for an Information Security Management System
-
| NewsOur CEO Osamu Iizuka had a presentation at Korea-Japan Startup Founder’s Day!
-
| NewsNotice of New Year Holidays
-
| MediaOur CEO Osamu Iizuka will have a presentation at Korea-Japan Startup Founder’s Day!
-
| MediaWe participated in the 1st Annual Congress of the Asian Society of Digital Pathology (ASDP 2024 Seoul)!